Врачи нижегородского онкоцентра спасли пациентку с редкой опухолью шеи.
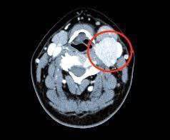
Сосудистое новообразование называется каротидная хемодектома. Часто появляется ещё в молодости и никак не заметна долгое время. Из-за такой опухоли человеку становится трудно дышать и глотать, потом меняется голос, начинаются боли и кровотечения.
Самое сложное в операции то, что рядом находятся сосуды, питающие головной мозг. Малейшая неточность и человек может остаться инвалидом. У хирургов всё получилось — на контрольном приёме рецидивов у больной не было.



























































