Нижегородские врачи прооперировали женщину с редкой опухолью шеи
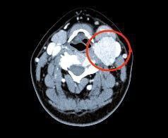
Каротидная хемодектома в области шеи – одна из самых редких сосудистых опухолей. Обычно они возникают в молодости и долгое время себя не проявляют.
Медики Нижегородского онкоцентра и кардиохирургической больницы им.Б.А. Королёва ювелирно удалили опухоль, несмотря на то, что операция осложнялась вмешательством в сосуды, питающие головной мозг. На контрольном обследовании рецидива опухоли не обнаружено, сообщает главный редактор ИА "Стационар-пресс" Алексей Никонов.
Алексей Никонов
Главные новости региона: Telegram| MAX
Бывший госинспектор Дзержинского отдела Волжско-Окского управления Ростехнадзора получил три года колонии по делу о взятках
Следствие доказало, что госинспектор и другие сотрудники ведомства в 2021-2022 гг. получили от представителей учебных центров более 15 млн рублей. За это они должны были обеспечить успешную аттестацию сотрудников организаций на знание правил работы с энергоустановками и в области промышленной безопасности.
Суд признал экс-сотрудника Ростехнадзора виновным по четырем эпизодам получения взятки в особо крупном размере и двум эпизодам получения взятки организованной группой, сообщает СУ СК.
Ранее по этому же делу были осуждены двое других сотрудников Волжско-Окского управления Ростехнадзора.
iStock








































