ИА Время Н напоминает своим подписчикам о времени детства - когда было принято отправлять родным и близким яркие и забавные советские открытки с поздравлениями.Популярные сюжеты новогодних открыток:Дед Мороз на ракете, самолете или...
Видео
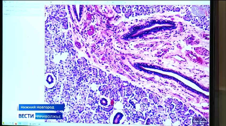
Речь об Aloe Vera, произведённом компанией «ВельтаПенза» в Пензе. В минувшую пятницу стало известно, что после его употребления пострадал ребёнок. После этого на предприятии началась проверка — в образцах обнаружили опасные...
Кировчане поддержали всероссийскую акцию «Закалённая Россия - сильная страна». Это физкультурно-массовое мероприятие проводится уже шестой год.#ВестиПФО #Приволжье #ПФО Прислать новостьГлавные новости региона:...
Это неофициальный праздник, посвященный музыкантам-виолончелистам и всем любителям этого инструмента. В этот день принято слушать...
Ракета «Союз-2.1б» стартовала с космодрома Восточный и вывела на орбиту 52 аппарата, среди них — малый космический аппарат «Лобачевский».Спутник будет заниматься дистанционным зондированием Земли: мониторингом лесов и сельхозугодий, а также испытанием...
В прошлом году девочка написала письмо на передовую. А небольшой подарок, спрятанный в конверте, стал для Марии настоящим оберегом. Как прошла их первая встреча?Наша кубанская коллега Екатерина Доленко увидела. Прислать новостьГлавные новости региона:...
Доброе утро, нижегородцы!Сегодня в Нижнем температура воздуха: утром... -6, пасмурно, днем...-6, пасмурно, снег, вечером....- 7, слабый снег, пасмурно.Все эксклюзивы и самые оперативные новости читайте в нашем канале МАХ!
Время для отдыха ещё есть Берите вкусняшки, включайте хороший фильм и проведите вечер спокойно и с удовольствием.Хорошего отдыха! Прислать новость Главные новости региона: VK | MAX
Участник спецоперации из Уфы, потерявший ногу из-за ранения, купил автомобиль и устроился работать в такси.#ВестиПФО #Приволжье #ПФО Прислать новостьГлавные новости региона:...
— Мэр Арзамаса Александр Щёлоков подвёл итоги диспансеризации в 2025 году—Более 230 пожеланий оставили нижегородцы в «Шкатулке пожеланий» Нижегородского кадрового центра— Спутник ННГУ «Лобачевский» успешно отправился на орбиту,сообщил губернатор ...
Сегодня с космодрома «Восточный» в 16:18 мск ракета-носитель «Союз 2.1б» успешно вывела на орбиту 52 спутника — и среди них наш «Лобачевский»! Это настоящий прорыв для Нижегородского госуниверситета и всей научно-образовательной среды регионаМалый...
На официальной церемонии наградили лучших и вручили сразу 9 нагрудных знаков «Пермский характер».#ВестиПФО #Приволжье #ПФО Прислать новостьГлавные новости региона: VK | MAX
Сотрудники Керженского заповедника в официальной группе во «ВКонтакте» рассказали, как животные нападают на фотоловушки.Так, например, в одном из случаев камера заинтересовала молодого лося.«Животные по-разному реагируют на фотоловушки: кто-то...
В преддверии самого долгожданного праздника сотрудники следственного управления Следственного комитета Российской Федерации по Нижегородской области вместе с кадетами профильного класса СК России МАОУ «Гимназия №2» города Нижнего...
Теперь участники СВО могут подтверждать статус при посещении музеев и театров по QR коду.Подробности - у Татьяны Плотновой. Прислать новостьГлавные новости региона: VK | MAX
Малый космический аппарат позволит получать ценные данные об экологическом состоянии Земли: он оснащен полезной нагрузкой для дистанционного зондирования.Ключевыми задачами «Лобачевского» станут мониторинг состояния лесного фонда и...
На ней – финальный в 2025, новогодний выпуск «На повестке». Собрали для вас всё самое важное, чтобы войти в новый год с полным пониманием событий. Включайте и заряжайтесь позитивом!
Но этот нижегородец все равно нашел компанию на праздники. Или она его?Подписывайся на Ni Mash
Обеспечение безопасности юных участников дорожного движения – это непрерывный и приоритетный труд сотрудников Управления Госавтоинспекции Нижегородской области. В рамках нашей постоянной акции «В школу без ДТП» в МАОУ "Гимназия №13"...
Но есть нюанс: он перепутал здание.После долгой борьбы с вратами мужик ультанул и вмазал по чужому стеклу со всей силы.есть пробитиеПодписывайся на Ni Mash








































